Как выбрать маммограф?

Дата публикации: 01.01.2025

 

Введение. Нормативная база

Шаг 1. Аналоговая или цифровая маммография

Шаг 2. Виды цифровой маммографии

Шаг 3. Формат приемника рентгеновского изображения

Шаг 4. Разновидности плоскопанельных матричных детекторов

Шаг 5. Снимочный штатив

Шаг 6. Назначение маммографа

Шаг 7. Нужна ли приставка для стереотаксической биопсии?

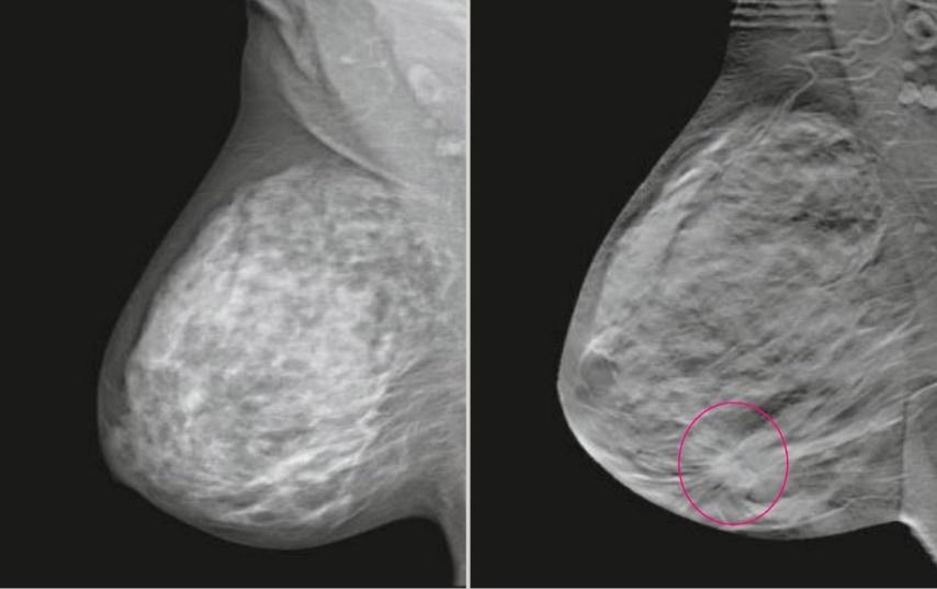
Шаг 8. Нужна ли функция цифрового томосинтеза (DBT)?

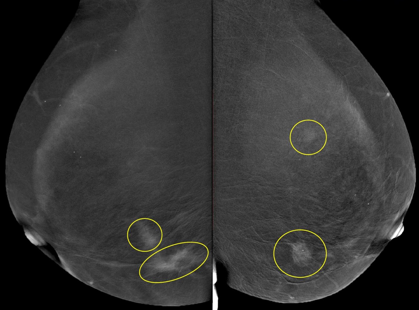
Шаг 9. Нужна ли функция контрастной спектральной двуэнергетической маммографии (CESM)?

Заключение

Не существует единого стандарта или критериев качества оценки маммографических аппарата, которым должен соответствовать каждый класс оборудования, но можно смело утверждать, что каждому классу аппаратов соответствуют свои количественные характеристики и функциональные возможности.

Все статьи Следующая статья
Связанные товары