Обзор функции УЗИ: Визуализация Mindray DC-8 на примерах из клинической практики

Дата публикации: 04.01.2021

Когда доктор выбирает новый ультразвуковой аппарат, в первую очередь его волнует качество визуализации, затем набор функций и возможности автоматизации измерений и вычислений. Каждый из этих пунктов очень важен. От формирования изображения зависит качество исследования и время, затраченное на получения снимка. Возможности расчетов позволяют не сидеть с калькулятором или листочком, считая всё вручную. Авто расчеты значительно ускоряют процесс измерений, например, ручная трассировка спектрограммы отнимает кучу времени, когда авто-трассировка работает самостоятельно.

Сегодня мы предлагаем посмотреть на настоящие снимки и видео петли, полученные на живом потоке пациентов. Такие изображения встречаются в клинической практике ежедневно у пациентов без идеального ЭХО окна. Снимки выполнены на аппарате экспертного класса Mindray DC-8.

1. Длинная ось левого желудочка (LAX LV). Прибор четко дифференцирует модераторный пучок правого желудочка от межжелудочковой перегородки и хорды от нижней стенки левого желудочка. Данные показатели критически важны при измерении их толщины и расчете массы миокарда. Частота кадров при заводской настройке составляет 91 кадр, это впечатляющий показатель.

2. Короткая ось левого желудочка (SAX). Линии эпикарда и эндокарда четкие, высокая частота кадров позволяет точно оценить сегментарную кинетику.


3. Тканевая допплерография (TDI). Всё просто и удобно, достаточно нажать одну кнопку. Цветовая карта по умолчанию яркая, не нужно настраивать её усиление для выбора точки установки контрольного объема.

Тканевая допплерография (TDI)
4. Пример визуализации поджелудочной железы у пациента с избытком массы тела, проблем с измерением органа и оценки его структуры нет. В качестве линзы использована левая доля печени.

Визуализации поджелудочной железы
5. Ветви аорты – чревный ствол и верхняя брыжеечная артерия. Отличное наполнение цветом, правильное появление элайзинга. Достаточно большая шкала для оценки конвексным датчиком. Картинка В-режима при включении цвета не теряет в качестве.

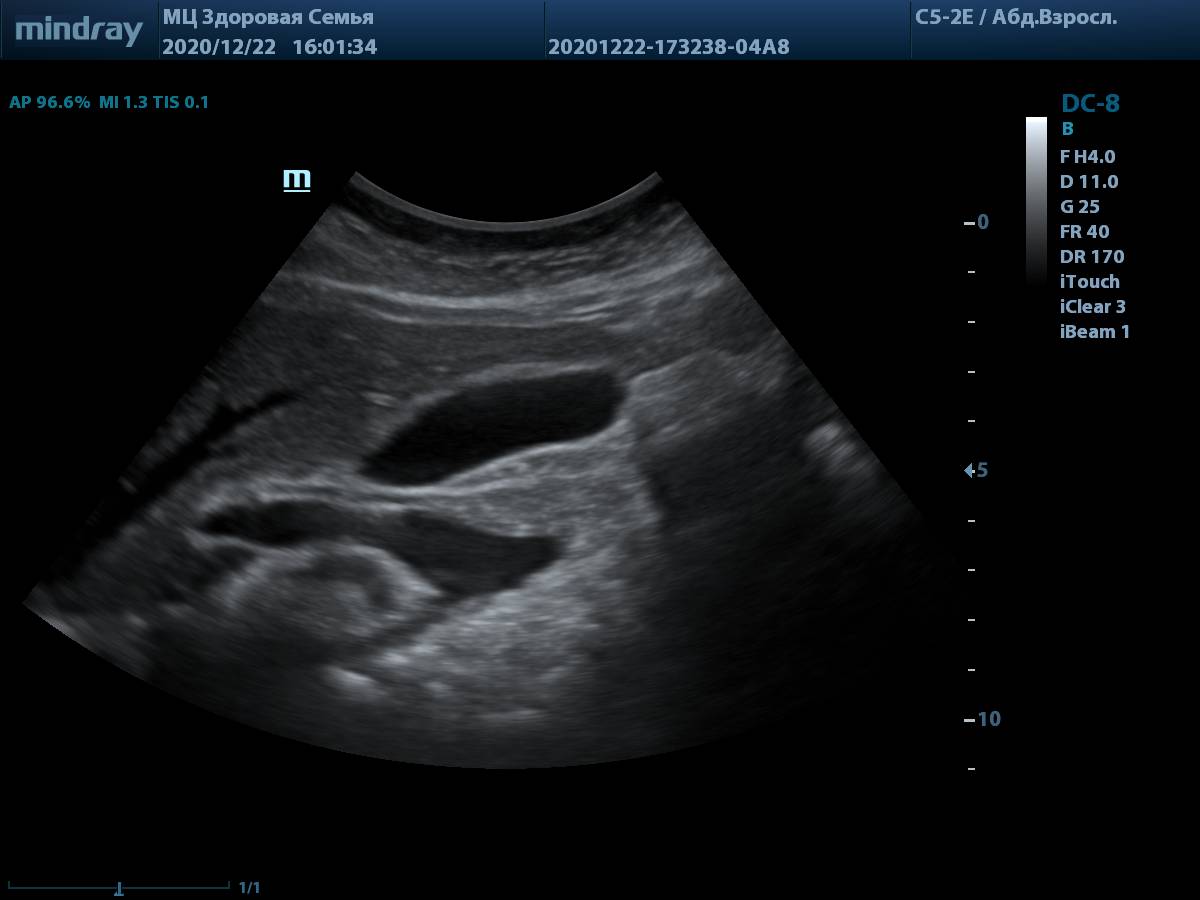
6. Пример визуализации ворот печени у пациента с избыточной массой тела. Четкие контуры холедоха и портальной вены, идеально для проведения измерений.

Визуализации ворот печени
7. Линейный датчик L12-3E, оценка глубоких структур, таких как позвоночная артерия, не вызывает трудностей. Хорошая чувствительность цветового допплера на глубине.

Позвоночная артерия, CFM
8. Общая сонная артерия (L12-3E) с использованием системы автоматического измерения комплекса интима-медиа, согласно международным стандартам.

Общая сонная артерия, авто IMT
9. Общая сонная артерия, PW-допплер. Автоматическая трассировка игнорирует мелкие артефакты, четко повторяя спектр, а также использует несколько комплексов для снижения погрешности. Для отправки результата в отчет достаточно выбрать параметр в меню измерений.

Общая сонная артерия, автотрассировка

Все статьи Следующая статья
Награды Mindray
Официальный дистрибьютор Mindray
MEDLIGA - официальный дистрибьютор Mindray №1 в России*

8 лет лидерства (2017-2024 г.)

* ежегодная аналитика компании Mindray

Сервисный центр Mindray
MEDLIGA - Золотой сервисный центр Mindray

Сервисный центр удостоен награды Mindray “Gold Service Channel” по итогам 2020, 2022, 2023 и 2024 гг.

Связанные товары