Современные способы визуализации поверхностных органов

Дата публикации: 16.07.2019

Опытные доктора еще помнят длинные линейные датчики, которые были более 10-12 сантиметров в длину. Такая длина была необходима для получения полной картины щитовидной железы и для достоверного измерения её размеров. Такая же проблема существовала при измерении образований в мягких тканях, например, широко разлившуюся по подкожной клетчатке гематому. Данный технический подход имел свои преимущества, но создавал ряд проблем. Трансдьюсер таких размеров попросту не входил в пространство между нижней челюстью и ключицей, и, благодаря рельефу поверхности шеи, создавал карманы воздуха, что увеличивало расход геля. Также габариты этого устройства затрудняли манипуляции: элементарный прием разворота плоскости сканирования отнимал много времени и требовал определенной мышечной силы от доктора.

  

На сегодняшний день длинные линейные датчики уже редкость, все чаще встречаются размеры 6-8 сантиметров. Необходимость в длинном линейном трансдьюсере отпала после введения режимов режима ExFOV (ExpandedFrontOfView – расширенное поле зрения) в ультразвуковых системах Mindray или режима Trapezoid (трапеция) в системах Philips и SIUI и, конечно, Pseudoconvex (имитация конвексного датчика) в приборах General Electric. Данные режимы позволили использовать часть кристаллов для сканирования под углом, расширяя веерообразно поле обзора. Казалось бы, проблема с измерениями длинных структур и конкретно продольного размера щитовидной железы решена, но в практике бывают моменты, когда и ExFOV недостаточно.

То, что не умещалось в плоскость сканирования линейного датчика, то умещалось в обзор конвексного. Однако за счет особенностей строения решетки и низкой частоты, погрешность измерений мелких структур и поверхностных органов оставляла желать лучшего.

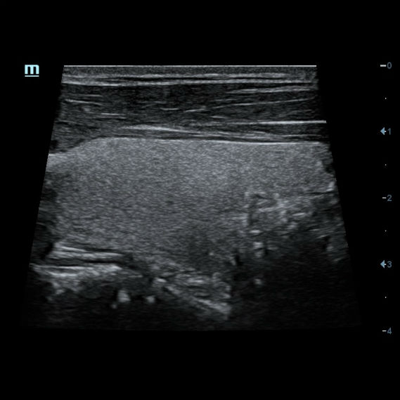
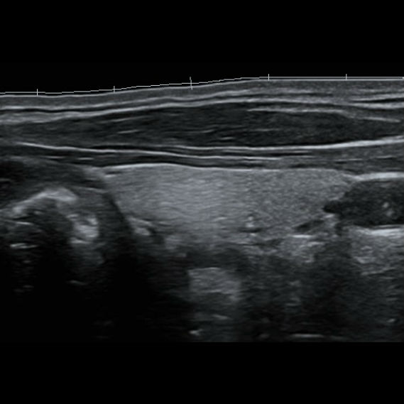
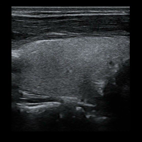
В таких случаях доктора использовали режимы двойного экрана, вручную подбирая половинки изображения, составляя целую «длинную» картинку. Современной версией этого метода является панорамное сканирование – iScape (Mindray: DC-70 и выше).

Нажав кнопку iScape мы просто проводим датчик вдоль оси сканирования, и прибор сопоставляет сканируемые изображения в единую, практически бесконечно длинную картину. Теперь влезет всё и продольное сечение щитовидной железы, и широкие гематомы, и крупные кисты Бейкера, и ахиллово сухожилие во всю длину с подробным указанием точек надрыва и указанием расстояния от пяточной кости для уточнения топики травмы даже при изгибе контактной поверхности.

Все статьи Следующая статья
Награды Mindray
Официальный дистрибьютор Mindray
MEDLIGA - официальный дистрибьютор Mindray №1 в России*

8 лет лидерства (2017-2024 г.)

* ежегодная аналитика компании Mindray

Сервисный центр Mindray
MEDLIGA - Золотой сервисный центр Mindray

Сервисный центр удостоен награды Mindray “Gold Service Channel” по итогам 2020, 2022, 2023 и 2024 гг.